전신질환이 있는 경우에도 시술이 가능한가요? 소유자 2022-09-08 전신 질환 환자의 경우 치료 후 회복력이 떨어지고 |
후유증에는 무엇이 있나요? 소유자 2022-09-08 발치 후 임플란트를 식립할 경우에는 시술 진행 시 초기 고정력을 확보해 주어야 하며,
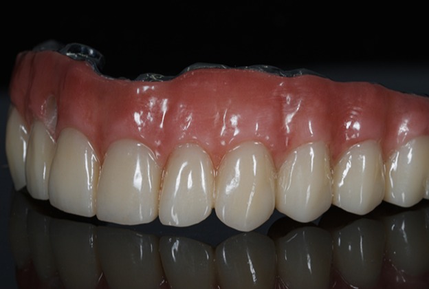
Full Arch system은 연구 결과에 따르면 높은 생존율을 보이는 시술 방법입니다. |
보험 임플란트가 가능한가요? 소유자 2022-09-08 나라에서 진행하는 건강보험 임플란트와 선택적으로 보험사에 가입하는 치아보험 2가지 방법이 있습 니다. |
풀아치 임플란트 수술 후 주의사항 소유자 2022-09-08 임플란트는 식립 후에 안정화될 때까지 시일이 필요하며, 안정화될 동안 꾸준한 자기관리가 필요합니다. 시술 후에는 약간의 출혈이 발생할 수도 있는데 출혈 시 뱉어내지 마시고 가급적 닦아내거나 삼키는 것이 좋습니다. 디오나비 풀아치 시술은 당일 임시치아가 완성되어 체결되기 때문에 마취가 풀리면 당일 식사가 가능하지만, 부드러운 음식부터 천천히 드시는 게 좋습니다. 시술 직후 시술 부위를 만지거나 강한 자극을 주면 안 되며, 심한 운동을 하지 않고, 흡연과 음주를 주의하고, 뜨겁거나 차가운 음식, 자극적인 음식은 피 하는 것이 좋습니다. 특히, 최소 2주일 이상 음주와 흡연을 삼가야 하고 흡연은 한 달 이상까지도 금연하시 거나 최소한으로 줄여주셔야 합니다. 음주는 알코올 성분이 혈압을 상승시켜 시술 부위를 붓게 하고, 담배는 임플란트와 자신의 뼈가 붙는 것을 방해하는 성분이 있습니다. 흡연 시에는 구강의 온도가 60도 이상으로 올라가게 되며 그 열로 인해 단백질로 이루어진 뼈에 손상을 주게 됩니다. 따라서 시술 후 음주와 흡연 시 감 염, 임플란트 실패 등 부작용을 가져올 수 있으니 특히 주의해 주십시오. 시술 부위에 심한 통증이나 출혈이 심한 경우 병원에 연락하셔서 내원하시고, 별다른 이상 없다면 약속된 날짜에 주기적으로 치과에 방문하시 어 지속적인 관리를 해주십시오. 시술 초기에는 딱딱한 음식을 금하시고 부드러운 유동식의 식사를 하세요 |
처음 듣는 시술 방법인데 일반 임플란트와 비교했을 때 더 좋은 방법인가요? 소유자 2022-09-08 임플란트 시술 자체는 아시다시피 이제는 모르시는 분이 없을 정도로 널리 알려진 방식으로
1.무치악 CASE ( 틀니를 사용하시는 경우) 기존에 틀니 사용이 불편하셨던 분들이 많이 하시고 있고, 시술받았던 환자분들께서 결과 또한 매우 만족 해하고 있는 방식입니다. 오래 사용하기 위해서는 임플란트와 똑같이 유지관리가 필요합니다.
2.무치악 CASE ( 틀니를 사용하시는 경우) 기존에 틀니를 사용해 보셔서 아시겠지만 틀니를 사용하시는 환자분들이 많은 불편을 호소합니다.
3.무치악 CASE ( 틀니를 사용하지 않는 경우) 그동안 틀니 없이 불편하셨을 텐데 불편감을 덜어드릴 수 있고, 환자분처럼 전체 치아가 없는 분들께서 시술 하시고 |
DIER DENTAL CLINIC
예약제로 운영이 되고 있습니다.
내원하시기 전에 미리 예약부탁드립니다.
- 위치 : 대전 서구 둔산로 20 대일빌딩 6층
- 전화 : 042-487-7599 ,
- Insta : dental_dier@인스타_계정




네이버 아이디로 로그인
카카오 아이디로 로그인